Resultats de la cerca
Es mostren 5775 resultats
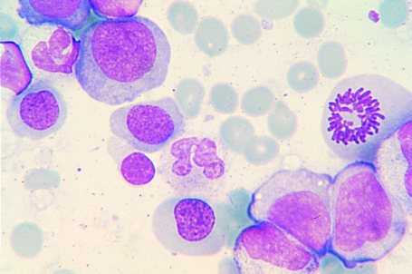
megaloblast
Microfotografia del moll de l’os amb megaloblasts , un d’ells amb mitosi, i metamielòcits gegants
© Fototeca.cat
Biologia
Cèl·lula embrionària voluminosa de la sèrie vermella, nucleada; n’hi ha en les extensions medul·lars i a la sang en les anèmies megaloblàstiques.
molècula

A dalt, model espacial d’una molècula discreta (aigua); al mig, model de boles d’una macromolècula (polipèptid), a baix, dimensions de dues molècules d’enllça entre dos àtoms de carboni
© Fototeca.cat
Química
Agregat d’àtoms, enllaçats entre ells químicament, que és elèctricament neutre.
Abans hom definia la molècula, de manera menys general i precisa, com la més petita part d’una substància que podia tenir existència independent i estable conservant encara les seves propietats químiques i certes propietats fisicoquímiques D’acord amb aquesta definició podien existir molècules monoatòmiques Les molècules poden ésser formades, bé per un nombre ben definit i en general petit d’àtoms constituint aleshores entitats elementals anomenades molècules discretes , que solen existir tant en estat gasós com en estat condensat, bé per agregats d’àtoms o ions que existeixen només en estat…
diastereomeria
Química
Estereoisomeria no òptica que, en les molècules amb dos o més centres d’asimetria diferents, presenten entre ells els possibles parells de formes enantiomèriques.
Així, si una molècula conté dos centres d’asimetria, A i B , els quals poden adoptar independentment la configuració dextrogira + i la levogira -, pot presentar evidentment quatre formes enantiomèriques + A + B , + A - B , - A + B , i - A - B , de les quals tant la primera i la quarta com la segona i la tercera són parells enantiomèrics, mentre que ambdós parells no ho són entre ells hom diu aleshores que són formes diastereomèriques o simplement diastereòmers En general, una molècula amb n centres d’asimetria diferents dona lloc a 2 n estereoisòmers que formen 2 n - 1 parells d’…
ciclòstoms
Ictiologia
Classe de vertebrats que comprèn els més primitius i més antics d’entre ells, única de la superclasse dels àgnats.
Agrupa animals que conserven el notocordi durant tota la vida, desproveïts de mandíbules i proveïts només d’aletes imparelles Tots ells són anguilliformes, tenen la pell nua i brànquies de sis a quinze parells tancades dins unes bosses branquials el disc bucal és suctor, d’acord amb llur vida parasitària La classe agrupa nombroses formes fòssils que tingueren llur màxima expansió en el Silurià superior i el Devonià inferior Els ciclòstoms actuals són representats per dues formes característiques, les llamprees i les mixines
silicat
Mineralogia i petrografia
Mineral format essencialment per grups tetraèdrics SiO4, units entre ells directament o bé per cations.
Els silicats són els components més importants de les roques i constitueixen amb el quars el 95% de la part coneguda de l’escorça terrestre Es troben, en gran part, com a constituents de les roques eruptives, formades a temperatura i pressió elevades, generalment amb amplis marges de variació d’ambdues variables, amb estructures denses i mancades d’aigua el quars, els feldespats i les miques, elements fonamentals del granit, en són un exemple conegut A les condicions de formació de les roques metamòrfiques s’originen una sèrie de silicats, alguns d’ells amb estructures menys…
àcid ribonucleic

L’estructura de l’ARN missatger
© fototeca.cat
Bioquímica
Nom genèric d’un grup d’àcids formats per nombrosos nucleòsids units entre ells mitjançant l’àcid fosfòric.
Els àcids ribonucleics presenten una estructura molt semblant al desoxiribonucleic i, com aquest, tenen una importància capital en la síntesi de proteïnes N’hi ha tres tipus principals l’ ARN missatger ARNm, l’ ARN ribosòmic ARNr i l’ ARN transferidor ARNt Cadascun d’ells forma una fibra única, té un pes molecular característic i una determinada composició de bases L’ARNm conté 4 tipus de base adenina, guanina, citosina i uracil i és sintetitzat en el nucli durant la transcripció Els ARNt actuen com a molècules transportadores d’aminoàcids específics durant la síntesi proteica en…
acoblament de circuits
Electrònica i informàtica
Unió de dos o més circuits que provoca la transferència a un d’ells de part de l’energia de l’altre.
Pot ésser fet directament si ambdós circuits tenen un element comú inductància, capacitat o resistència o, indirectament, si tenen en comú un flux magnètic o un camp elèctric, però no cap element El circuit que rep l’energia directament del generador és anomenat primari, i l’altre, secundari Si la quantitat d’energia cedida al secundari és suficient perquè aquest reaccioni sobre el primari, és anomenat rígid en cas contrari, feble o flexible L' acoblament magnètic és molt corrent i es fa mitjançant un transformador, o dues bobines amb el flux magnètic comú Si M és la inductància mútua i L 1…
menor
Música
Dit d’un dels modes de la música occidental que empra una escala diatònica els graus de la qual tenen distàncies entre ells diferents dels de l’escala major i que varien segons que sigui un mode menor natural, harmònic o bé melòdic.
En el cas del mode melòdic, varien també entre ells els intervals entre els graus de l’escala ascendent i els de la descendent
efecte termogalvanomagnètic
Física
Fenomen que modifica les característiques físiques d’un medi material quan, sota la influència sis d’un camp elèctric o d’un camp magnètic o d’un gradient de temperatura o més d’un d’ells a la vegada, és travessat per un corrent elèctric.
Són efectes termogalvanomagnètics l’efecte Peltier, l’efecte Thomson, l’efecte Leduc-Righi i l’efecte Nernst, entre altres, o una combinació d’ells
Paginació
- 1
- 2
- 3
- 4
- 5
- 6
- 7
- 8
- 9
- …
- Pàgina següent
- Última pàgina